low dose 3D X-ray imaging as a way to diagnose COVID-19 by VOXEL

Low-dose 3D X-ray imaging to help in fight against COVID-19

As our understanding of COVID-19 increases, 3D X-ray imaging may play a key role in diagnosing the coronavirus. To keep the associated radiations level to a minimum, the complementary technique of plenoptic imaging may be the way forward

SHARE THIS STORY:

Initially COVID-19 was perceived to be a respiratory disease affecting the lungs. But our evolving understanding has revealed severe cases are further vulnerable to such complications as excessive inflammation. This leaves other vital organs like the heart and brain under threat from thrombosis and open to attack. The multitude of ways in which the virus lays siege suggests that 3D X-ray imaging can play a role in diagnosing and monitoring COVID-19 as well as providing important new information about its actions on different organs.

 

With X-ray imaging, radiation is a key concern but an EU-funded project – VOXEL – has been developing a technique that significantly reduces radiation levels.

 

 

Diagnosing COVID-19 with Computer Tomography

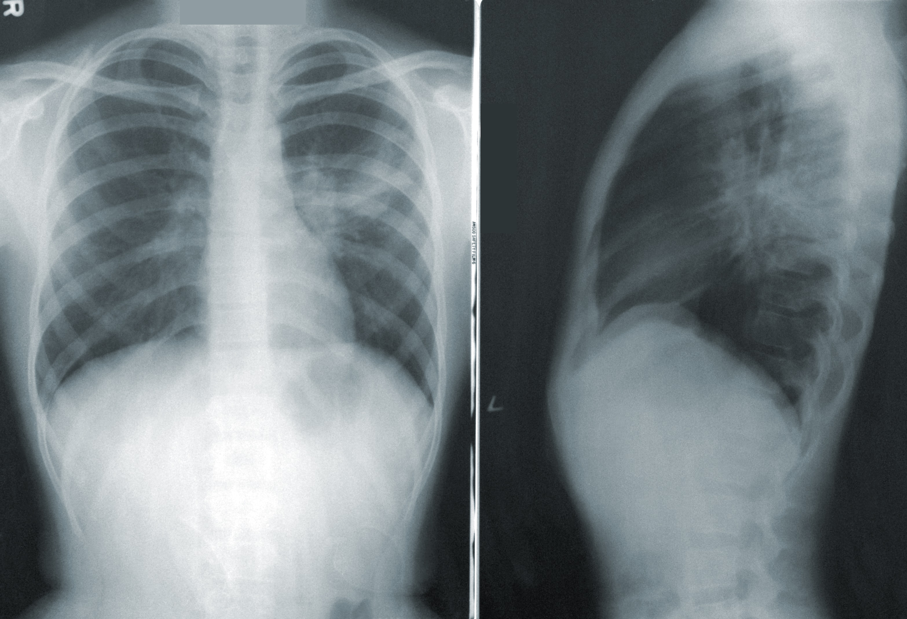
The most common detection method is Nucleic Acid Amplification Testing, in which a swab containing upper respiratory tract specimens is processed in a laboratory. However, processing variability can sometimes lead to delays. In such cases, and where patients already demonstrate respiratory symptoms of some severity, computed – or X-ray – tomography (CT) could assist in confirming infection. The images generated with CT technology can reveal the presence of a hazy ‘ground glass’ lung opacity which while not specific to COVID-19, is nonetheless common in patients and could thus indicate its presence.

 

Computed tomography, the gold standard in 3D X-ray imaging due to the detailed 360-degree images it generates, is a valuable tool for investigating illnesses and abnormalities affecting organs and blood vessels. For this reason, in addition to COVID-19 detection, it is also extremely useful for treatment response monitoring, and in the longer-term can help determine the nature and degree of any lasting impacts on organs. However, to construct a 3D image, scans take thousands of flat, 2D photos, which inject patients with a potentially harmful dose of ionising radiation.

 

 

Reducing the risk with VOXEL

This begs the question: how can the radiation risk be reduced when examining COVID-19 patients? The EU-funded European FET (Future and Emerging Technologies) project VOXEL offers one promising solution.

 

VOXEL’s focus was to adapt the complementary technique of plenoptic imaging to X-ray tomography in order to significantly lower the associated radiation dose. Instead of taking thousands of 2D photos, plenoptic systems capture the directions travelled by light rays, information which can then be used by researchers to reconstruct 3D images.

 

“Although X-ray plenoptic systems are still under development, they have the possibility to help virus researchers,” said the project’s coordinator Marta Fajardo. “For instance, they might be very useful for the fast screening of biological samples, and at resolution lower than what is reachable on the best X-ray tomography systems.”

 

VOXEL prototyped two plenoptic cameras. One system can image centimetre-sized biological samples, targeting a 1 micrometer resolution adapted to image full or partial organs. The second can capture 10s micrometre samples, targeting a sub-micrometre resolution typical of cell, neuron and vacuole imaging.

 

Video courtesy by Euronews on VOXEL.

 

While the project concluded in 2019, progress continues. The Institut Polytechnique de Paris has supported new technical developments of both plenoptic prototypes in order to increase their technical readiness level and ease future commercialisation potential.

 

Researcher Ombeline de La Rochefoucauld, from VOXEL partner Imagine Optic, also received a grant for the FET Innovation Launchpad project 3DX-Light in order to prepare the business model, to find news customers and to define the best production strategy.

 

Background information

FET-Open and FET Proactive are now part of the Enhanced European Innovation Council (EIC) Pilot (specifically the Pathfinder), the new home for deep-tech research and innovation in Horizon 2020, the EU funding programme for research and innovation.

 

Cover photo by United Nations COVID-19 Response